Festive mood - spoiled smile: alcohol destroys teeth worse than sweets
Categories: Europe | Food and Drinks | Health and Medicine | Holidays and Festivals | Society
By Pictolic https://pictolic.com/article/festive-mood-spoiled-smile-alcohol-destroys-teeth-worse-than-sweets.htmlWhat holiday table is complete without alcohol? It turns out that alcohol not only lifts the mood, but also spoils the teeth, and worse than sweets. A famous London dentist shared shocking photos of patients whose smiles were hopelessly overshadowed by addiction to strong drinks. Learn how to protect your teeth from the harmful effects of alcohol from our material.
Holidays and alcohol always go hand in hand. Surveys show that men drink on average about six servings of alcoholic beverages per holiday, and women — about four.
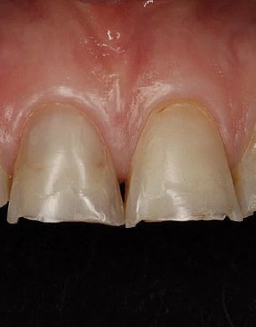
Erosion of teeth in a 36-year-old wine lover
A well-known British dentist warns that this can adversely affect the condition of teeth, lead to erosion and loss of enamel whiteness.
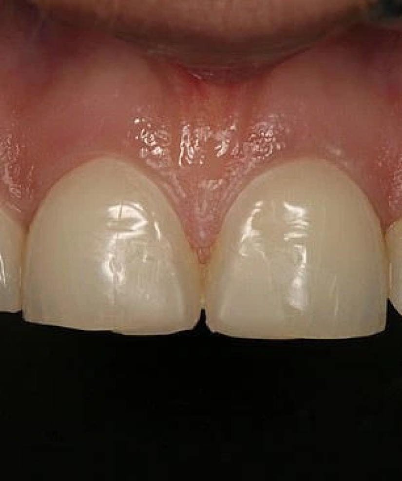
The patient's teeth are chipped due to alcohol addiction
Cocktails cause the most harm. Prosecco, champagne and white wine negatively affect the enamel.
The edges of the teeth are destroyed under the influence of acid and sugar contained in strong drinks
The dentist, who has 23 years of practice behind him, says that alcoholic cocktails based on lemon juice and sweet soda destroy the enamel due to the sugar and acid content. The doctor focuses on the fact that the loss of a part of a tooth or a whole incisor is irretrievable. A smile should be kept while the teeth are healthy.Saliva protects teeth from the harmful effects of alcohol and sugar, but it takes up to half an hour to produce it. If a lover of alcohol sips strong drinks at parties for several hours, the body has no chance to replenish its saliva reserves. This leads to softening of the tooth enamel and tooth damage.
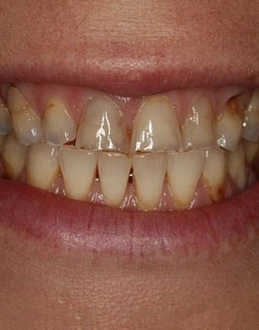
The remains of the teeth of a 47-year-old patient after frequent use of cocktails
Wines, prosecco and champagne are also harmful to incisors due to increased acidity. Dr. Orr adds that the PH level in wines varies: it is difficult to determine exactly, but white wines are usually the most acidic.
Alcoholic mixes are a verdict for your teeth
Red wines are also sour, and sweet ones are even more harmful because of the high sugar content.To protect your teeth from the harmful effects of alcohol, the dentist advises using a straw and occasionally rinsing your mouth with water after drinking. Cheer up without spoiling your smile, because it will be useful to you after the holidays.
The Brazilian dentist helps the poor to shine with a snow-white smile. He treats their teeth for free and changes the lives of his patients for the better.
Keywords: Alcohol | Parties | Doctor | Teeth | Acid | Cocktail | London | Patients | Destruction | Sugar | Dentist | Smile | Photos
Post News ArticleRecent articles
Admit it, was served at the New year, the traditional basin Olivier in a carved crystal vase? If so, then surely many other things ...
Undoubtedly, making a film is a huge and very responsible job that requires attention to every detail. During the creation of a big ...
Related articles
Millions of people around the world after the new year holidays will try to give up alcohol. Challenge "January-tresuary" launched ...
Vermouth is considered one of the most romantic and mysterious of alcoholic beverages. The name of this herbal wine with the German ...
Baileys ® and Xue-Xue and Becherovka long been loved by all, but that's the price one last time "bite". But if you try it, you can ...

The cycle of color photographs captured in the distant 1911. Where one hundred years ago, took a color? How was it done? Indeed, ...