Los objetos más increíbles que se han encontrado en el cuerpo humano
Categorias: Salud y Medicina
Por Pictolic https://pictolic.com/es/article/los-objetos-ms-increbles-que-se-han-encontrado-en-el-cuerpo-humano1.htmlSi no te sientes bien con la dona que comiste en el almuerzo, relájate, puede empeorar ... Al menos no te comiste las pilas, y, por cierto, algunas personas logran tragarlas. Tal vez, por supuesto, sean bajos en calorías, pero es poco probable que brinden beneficios especiales al cuerpo. Y si crees que picar pilas es raro, te sorprenderás aún más, porque este número está dedicado a objetos que se han encontrado en cuerpos humanos. Y las baterías parecerán deliciosas en comparación. (Aunque, por supuesto, vale la pena señalar que algunos de los elementos de este número no ingresaron al cuerpo a través de la boca).

Cuchara.
Bala.
Anillo de bodas.
monedas
Imanes.
Guijarro.
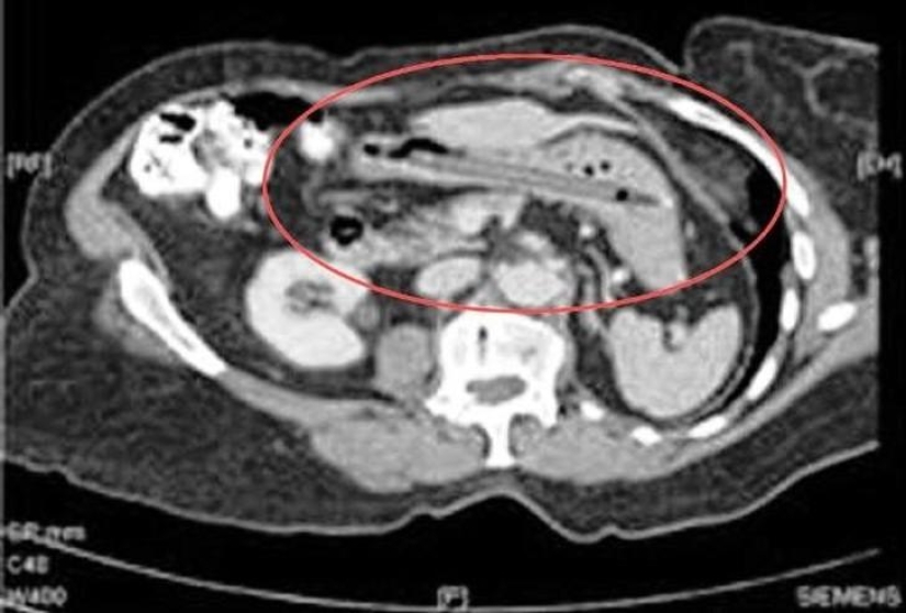
Llave.
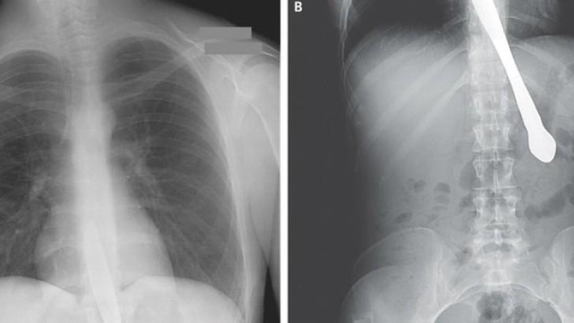
Bolígrafo.
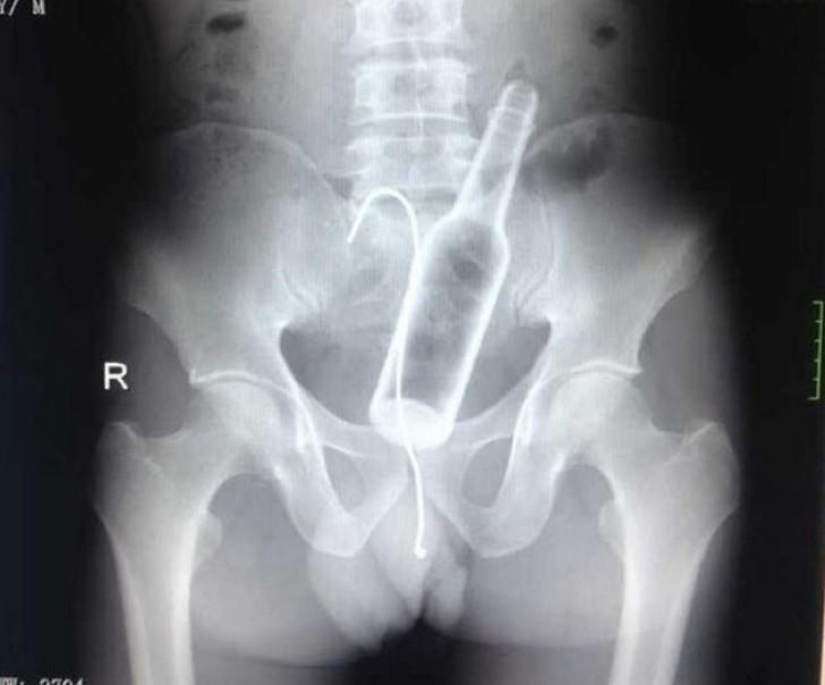
Botella.
Clavo.
Ranas vivas.
Cuchillería.
¡Y aquí están las pilas!
Granada.
Bulbo.
Tenedor.
Enorme ovillo de lana.
Embrión gemelo.
Muelles de cama.
Teléfono móvil.
Hélice de avión.
Pinzas.
metanfetaminas
Tijeras.
Anguila viva.
Artículos Recientes
El fotógrafo Dylan Hamm se ha estado preguntando durante mucho tiempo cuántas microexpresiones toma nuestra cara que ni siquiera ...
El fotógrafo de Nueva Jersey Robin Schwartz fotografió a su adorable hija Amelia con una variedad de animales entre 2002 y 2015. ...

Para un proyecto artístico llamado Metamorfosis, los pintores corporales Léonie Gené y Jörg Düsterwald colaboraron con los ...