The most incredible objects that have been found in the human body
Categories: Health and Medicine
By Pictolic https://pictolic.com/article/the-most-incredible-objects-that-have-been-found-in-the-human-body1.htmlIf you don't feel good about the donut you ate for lunch, relax - it can get worse ... At least you didn't eat the batteries - and, by the way, some people manage to swallow them. Maybe, of course, they are low-calorie, but they are unlikely to bring special benefits to the body. And if you think that snacking on batteries is weird, then you will be even more surprised, because this issue is dedicated to objects that have been found in human bodies. And the batteries in comparison with them will seem yummy to you. (Although, of course, it's worth noting that some of the items in this issue didn't enter the body through the mouth at all.)

Spoon.
Bullet.
Wedding ring.
Coins.
Magnets.
Pebble.
Key.
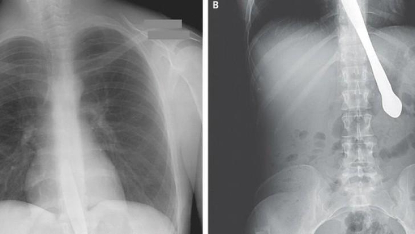
Pen.
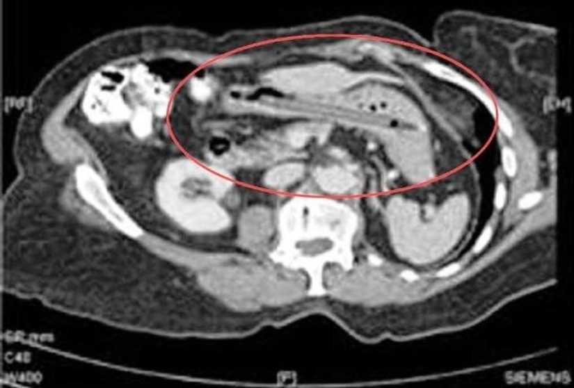
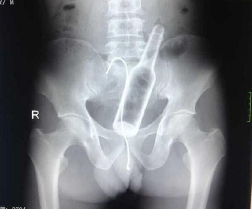
Bottle.
Nail.
Live frogs.
Cutlery.
And here are the batteries!
Grenade.
Bulb.
Fork.
Huge ball of wool.
Twin embryo.
Bed springs.
Mobile phone.
Aircraft propeller.
Forceps.
methamphetamines.
Scissors.
Live eel.
Recent articles
It's high time to admit that this whole hipster idea has gone too far. The concept has become so popular that even restaurants have ...
There is a perception that people only use 10% of their brain potential. But the heroes of our review, apparently, found a way to ...

New Year's is a time to surprise and delight loved ones not only with gifts but also with a unique presentation of the holiday ...