The strangest X-rays
Categories: Health and Medicine
By Pictolic https://pictolic.com/article/the-strangest-x-rays.htmlTo believe that IT could be inside a living person, you need to see their X-rays with your own eyes. We bring to your attention the strangest X-rays in the history of medicine, from which it becomes creepy and scary, and sometimes you feel surprise or even real shock.

1. The skull of a Chinese man who was shot in the head with a pneumatic hammer

2. The stomach of a patient who has swallowed two forks, a ballpoint pen, and a toothbrush.

3. Ancient X-ray image of the foot of a soldier of the Anglo-Boer War (1899-1902) with a gunshot wound. The bullet lodged in the metatarsal bone between the thumb and second finger.

4. A nail in the bones of the index and middle fingers of an adult male.

5. Color image of objects that the patient has swallowed and that are stuck in his intestines, including a spoon and a blade.

6. A pin in a woman's throat.

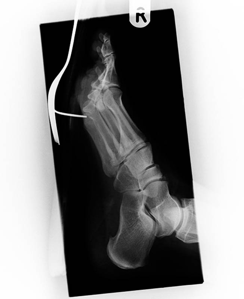
7. X-ray of the patient who stepped on the fork.

8. Color X-ray of the stomach of the patient who swallowed the razor (center left) and the blade (top right).

9. The severed finger of a patient who fought with a man armed with a knife.

10. Another patient who stepped on a fork.

11. A spear from a harpoon that hit a 16-year-old boy in the head on a fishing trip.

12. Surgical scissors accidentally left in the patient's body after surgery. The scissors were discovered only 18 months after the operation, because the woman complained of constant pain in the intestines.

13. Nail in the human skull-the patient accidentally shot himself with a pneumatic hammer. He did not even realize that he had shot himself – a nail 10 cm long was found only after 6 days.

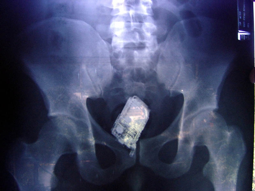
14. Mobile phone in the prisoner's intestines.

15. A knife in the head of a 10-year-old boy. The boy survived.

16. A grenade in the prisoner's skull.

17. Such a 15-centimeter kidney stone weighing 1.1 kilograms was removed by a patient from Hungary.

18. a 12-centimeter knife in the skull of a teenager.

19. A knife for cutting oil in the patient's eye.

20. A Pepsi bottle in the anus of a 60-year-old man.
Keywords: Health and medicine | Injuries | X-rays | Scary | Tin
Post News ArticleRecent articles
It's high time to admit that this whole hipster idea has gone too far. The concept has become so popular that even restaurants have ...
There is a perception that people only use 10% of their brain potential. But the heroes of our review, apparently, found a way to ...
Related articles
Immunity to poisons at all times been the dream of all authority. List of popes, kings and emperors, gave his soul to God through ...
Have you heard of such a phenomenon as the doorway effect? Let's put it simply: have you ever walked into a room and immediately ...
Yes, Pets benefit our health and it is proven by science. Their very existence certainly makes us happier, but also prolongs life. ...

New Year's is a time to surprise and delight loved ones not only with gifts but also with a unique presentation of the holiday ...