25 Most Unusual and Dangerous Parasites
Categories: Animals | Health and Medicine
By Pictolic https://pictolic.com/article/25-most-unusual-and-dangerous-parasites.htmlParasitism is found everywhere in nature. There are parasitic animals, parasitic insects, parasitic worms, parasitic plants and many others. There are so many of them that even some parasites have their own parasites, and these "subordinates" can be especially dangerous and bloodthirsty.
A striking example of such a "hierarchy of darkness" is the malarial plasmodium. This single-celled organism parasitizes the malarial mosquito, which itself is a temporary parasite of warm-blooded animals and humans. Every year, the malarial plasmodium finds almost a third of a billion new victims and causes the death of more than a million people.
Warning! Some photos are not for the faint of heart

The most "gallant" parasite, perhaps, can be called the medicinal leech. It does not simply drink the blood of the host, but does it with a special "tact". Firstly, it tries to make the process completely painless, and secondly, during its "lunch" it even helps to rid the host of some diseases.
All parasites, without exception, lead a freeloader lifestyle, gradually eroding the resources of the very "bitch" they are sitting on. However, despite the fact that they do not need to look for food (after all, they live inside it), their existence cannot be called easy or comfortable. The host's body is constantly trying to destroy uninvited guests. To survive in such hostile conditions, parasites have to use the most incredible tricks. We suggest taking a look at 25 of the most unusual representatives of this world.

This barnacle is a parasite on crabs. It literally grows through the entire body of the host, sucking out the nutritious juices. The crab gradually weakens and even loses the ability to regenerate. When it is time for the parasite to reproduce, it injects special chemicals into the crab's blood, under the influence of which the female crabs begin to care for the parasite's eggs as if they were their own. A male crab infected with the parasite refuses to mate, and instead, under the influence of a chemical dope, cares for the parasite's eggs in the same way as the female.

Ophiocordyceps unilateralis is a parasitic fungus that turns ants into zombies worthy of a horror movie script, and it does so with terrifying sophistication. Found in tropical forests, it infects carpenter ants by entering their bodies through spores. Once inside, the fungus takes control of the insect's behavior: the ant abandons its usual activities, climbs a nearby plant, and clings tightly to a leaf with its jaws - this is its final act.
Cordyceps feeds on its host from the inside, gradually sucking out all its resources until a creepy stalk with a mushroom "cap" sprouts from the ant's head. This stalk scatters new spores to find its next victims. Scientists have dubbed it the "zombie mushroom" for its ability to completely control the insect's behavior, directing it to the ideal height to spread its spores. This is not just a parasite, but a real puppeteer of the jungle, proving that nature is sometimes scarier than any horror movie.

A person can become infected with these worms if they eat poorly cooked fish, shrimp, squid or octopus infected with the parasites. The first case of anisakiasis infection was officially registered in 1955 in Holland, and the source of the infection was lightly salted herring.
If you notice "spiral formations" in the muscle tissue, roe or milt while cutting the fish, you have two options: either throw away the delicacy mercilessly, or freeze the fish at -20 degrees and keep it in this state for at least two weeks. With this treatment, the worms and their microscopic larvae will die. After that, the fish can be eaten, although the fact that it was infected is unlikely to add to your appetite.

Wolbachia is a manipulative bacterium that lives inside insect cells and subtly controls their fate. This tiny "schemer" lives in mosquitoes, flies, butterflies and even spiders, infecting about 60% of all insect species on the planet! It is not just a parasite, but a true master of biological control. Wolbachia can make males sterile, turn them into females or even change the host's reproductive methods so that its own genes are passed on.
For example, infected Aedes aegypti mosquitoes become poor carriers of diseases such as dengue or the Zika virus with the help of Wolbachia. This is a clever trick that scientists use to combat infections. The bacteria is transmitted through insect eggs, like a secret inheritance, and is completely safe for humans. However, in the world of beetles and mosquitoes, Wolbachia is a real queen of behind-the-scenes intrigue, pulling the strings of life and reproduction!

The sand flea is an extremely dangerous parasite that affects domestic animals, rodents, monkeys and humans. Its mass distribution is a serious problem for countries such as Nigeria, Togo and even Brazil. In disadvantaged areas, the proportion of people suffering from this parasite can reach 70%. Strangely, sand fleas most often attack men.
When infected, the microscopic female flea burrows into the skin of the legs or under the nails. In just 5-6 days, her abdomen, filled with eggs, swells to the size of a pea, causing the host severe pain. When the eggs mature, the female “shoots” them into the environment, after which she tries to crawl out of the wound. However, most often she dies right in the human body, which can lead to serious complications.

The wasp Hymenoepimecis argyraphaga is a parasitic genius from the rainforests of Costa Rica, turning the lives of spiders into a horror movie scenario. This wasp from the ichneumonid family hunts spiders of the species Plesiometa argyra, and its methods are astonishingly cruel in their ingenuity.
The female wasp temporarily paralyzes the spider with a sting and lays an egg directly on its abdomen. When the larva hatches, it begins to feed on the spider's blood like a little vampire, while the spider continues to spin webs and lead a "normal" life. But then comes the climax: before pupating, the larva injects a special chemical into the spider. This causes the spider to create a strange, reinforced web - not to catch prey, but as the perfect platform for the wasp's future cocoon.
Once the job is done, the spider freezes, and the larva kills it, sucks out the remaining life resources and builds its cocoon on this creepy structure. Hymenoepimecis argyraphaga is a real master of zombification, clearly demonstrating that nature can be both terrifying and incredibly brilliant!

In fact, this small translucent fish parasitizes the gills of other fish living in the rivers of Amazonia. But in search of prey, the candiru is guided by the smell of ammonia, which is contained in the water that has passed through the gills. This makes it extremely dangerous for humans. If a person is in the water, then having sensed the chemical signal, the candiru instantly penetrates the anus or urethra of a person, sometimes even reaching the bladder. Having penetrated the body, the candiru inevitably dies, but the injury that it manages to inflict is simply terrible, and only a good surgeon can remove its dead body, covered in tenacious spines.

Trichomonas is a single-celled flagellate microorganism. Some types of trichomonas are completely harmless, but there are also real killers. In birds, these parasites can cause severe inflammation in the mouth and throat, as a result of which the bird cannot swallow and eventually dies.
Another type of trichomonads (vaginal trichomonad) parasitizes in the urogenital organs of humans and causes a severe disease called trichomoniasis, which is today the most common disease of the urogenital tract on Earth. Medical statistics say that almost every tenth inhabitant of the planet suffers from this disease.

This is a group of protozoa that cause severe diseases known as leishmaniases. For example, cutaneous leishmaniasis, which manifests itself in the form of painful ulcers, is caused by parasites that first live in mosquitoes or flies and then move on to warm-blooded animals, including humans.
At first, these parasites multiply so actively in the digestive tract of the blood-sucking insect that they completely block its work. When the insect bites a person, it first regurgitates a lump of parasites into the wound, and only then begins to drink blood. Leishmaniasis is widespread in tropical countries, and about two million new cases of infection are registered worldwide every year.

The tongue-eating louse (*Cymothoa exigua*) is a marine parasite that sounds like something out of a nightmare, but it really does exist in the ocean depths. This small crustacean from the family *Cymothoidae* lives in the mouths of fish, especially snappers, and makes their lives a living nightmare.
Penetrating through the gills, the female woodlouse reaches the fish's mouth, clings to its tongue and begins to suck blood until it atrophies and dies completely. But her work does not end there: instead of the lost tongue, the woodlouse takes its place, attaching itself to the stump and becoming a kind of "living prosthesis." The fish continues to live and even feed with this "substitute," and the parasite gets its share of food.
*Cymothoa exigua* is the only known parasite that can completely replace the host's organ. It is not just a devourer, but a real marine "engineer", clearly demonstrating that everything is possible in nature, even the most incredible and wild!

Trypanosoma is a tiny but extremely dangerous parasite that makes life a nightmare for its victims. The diseases it causes, such as sleeping sickness in humans or nagana in animals, make it one of the most insidious enemies in tropical regions. Trypanosomes are carried by blood-sucking insects, such as tsetse flies, which deliver this microscopic “invader” directly into the blood.
Once in the body, trypanosomes begin their journey through the blood vessels and lymphatic system, disrupting the functioning of internal organs. In humans, this causes fever, weakness, confusion, and if left untreated, leads to lethargy or even death. The most terrifying species is Trypanosoma brucei, which is considered the main culprit of sleeping sickness.
This parasite is a true master of disguise: it constantly changes its proteins, deceiving the immune system. Because of this, it is extremely difficult to fight. Trypanosoma is a striking example of how a small pathogen can cause huge problems for the health and lives of millions of people and animals.

The simplest microorganisms that cause a serious disease - toxoplasmosis. The main hosts of the parasite - cats, humans and other warm-blooded animals act as intermediate hosts. Toxoplasmosis can often proceed very easily, disguised as a common cold. But with a decrease in immunity, the disease can cause insanity, convulsions, paralysis and other lesions of the nervous system. Toxoplasmosis is especially dangerous for pregnant women, as it leads to the death of the child even before its birth.

The females of this fly, which lives in America, imperceptibly attach their eggs to the bodies of warm-blooded animals. The larvae that hatch from the eggs penetrate under the skin, gnawing entire holes in the body of the victim. Particularly dangerous are those species of flies that lay eggs in the eyes and nose. In this case, the larvae, devouring the flesh of the host, can cause blindness and even reach the brain. There are known cases when doctors extracted more than 150 larvae from the nasopharynx of a person infected with this parasite.

The Gordiacea is a parasite that looks like something out of a horror movie: a long, hair-thin worm that can grow up to a meter long! These nematomorphs live in bodies of water, and their larvae are masters of manipulation. They burrow into the bodies of insects like grasshoppers and beetles, turning them into obedient puppets.
The infected insect suddenly starts behaving strangely: for example, it decides to “swim” in water, although it usually avoids this. It is there that the hairworm leaves the host’s body, leaving it to its fate. There were even legends that people were afraid to drink water from rivers, fearing to swallow a “live hair” that would supposedly begin to grow inside. In fact, it is harmless to humans, but watching a meter-long worm crawl out of a beetle is not a sight for the faint of heart. The hairworm is a real puppeteer of nature, and its “performances” give goosebumps even to the most persistent!

Almost 10 different types of filaria parasitize people. These extremely thin worms (their diameter does not exceed 0.3 mm) can grow almost half a meter in length. Filarial worms are spread by blood-sucking insects. In the human body, worms can live almost anywhere. When they block the lymphatic system, elephantiasis develops, and if they accumulate in the eyes, a person can go blind.

The thin roundworm Loa loa is a filariae and is quite common in West and Central Africa. The parasite is spread by horseflies and other blood-sucking insects. Adult worms live under the skin. Females immediately give birth to live larvae, which accumulate in the lungs and peripheral blood vessels, causing various tumors and inflammatory reactions. The worms constantly migrate throughout the body, and if they get into the eyes, this can lead to blindness.

Clostridium perfringens is a real bacterial hooligan that loves to ruin barbecues and cause complete chaos in the intestines. This microbe lives in soil, dust, and most importantly - in poorly cooked meat or soup that has been sitting on the table for too long. Once in the body, clostridium begins to secrete toxins, turning your stomach into an arena for "violent protests": spasms, diarrhea and a feeling as if a volcano has awakened inside you.
It has been nicknamed the "Queen of Food Poisoning," but its "talents" do not end there. In rare cases, it can cause gas gangrene, when tissues literally begin to decompose due to its poisonous "tricks." This anaerobic "beast" loves places without oxygen, such as deep wounds or long-forgotten canned food. So watch your food, keep it in the refrigerator and wash your hands - Clostridium is always awake and ready to arrange its toxic carnival!

Schistosoma is a parasitic flatworm that loves water adventures and human blood, turning a harmless swim into a real nightmare. Living in fresh water bodies of Africa, Asia and South America, these insidious creatures from the genus Schistosoma penetrate the body through the skin when you enjoy swimming in a river or lake.
Their larvae, like miniature harpoons, bite into the body, and then begin their journey through the blood vessels, arranging their "cozy home" there. The worst thing happens when they lay eggs: the body begins to rebel, inflammation occurs, and sometimes even blood in the urine or stool - "hello" from the schistosome! Species like Schistosoma mansoni can bring the liver and intestines to complete exhaustion. Locals call this disease "snail fever", because snails serve as intermediate hosts of the parasite. So, if you are going to dive into a tropical river, think twice - what if this water vampire is already lurking there!

River blindness, or onchocerciasis, is not the title of a thriller, but a treacherous “gift” from a parasite that loves rivers and human skin. The causative agent of the disease is the worm Onchocerca volvulus, and it is delivered by the black midge Simulium, whose bites literally make you howl with irritation. These midges live near fast rivers in Africa, Latin America and the Middle East, turning bodies of water into real hotbeds of infection.
Once under the skin, the worm larvae begin to grow, reproduce and cause complete chaos there, releasing millions of microscopic offspring. The result? Severe itching, skin resembling an orange peel, and in the worst case, blindness when the parasites reach the eyes and ruin life completely. It is not for nothing that the disease is called "river blindness": it especially loves fishermen and farmers living near the water, and can deprive them of their main treasure - sight. Fortunately, today it is fought with the help of drugs and mosquito nets, but the midge still does not give up!

Meningococcus is an invisible bacterium that loves to play hide and seek with our immune system, and at the same time create real thrillers in the body. In scientific circles, it is called Neisseria meningitidis. It lives quietly in the nasopharynx of many people, without giving away its presence. However, as soon as it penetrates the blood or meninges, real chaos begins: fever, a rash that looks like a starry sky, and lightning meningitis, from which the head literally "splits".
This insidious microbe is transmitted through saliva - it is enough to sneeze, kiss or drink from someone else's mug to find yourself in the risk zone. It especially loves young people and children, turning a harmless cold into a scenario for a medical detective. Although vaccines against meningococcus exist, it remains a master of disguise. So it is better not to give it a single chance to come to the forefront!

The tsetse fly is a true rock star of the insect world, only with a bloody hobby and a bad reputation. Found in tropical Africa, this small (9-14 mm) blood-sucking fly of the genus Glossina is not just an annoying biter, but a carrier of deadly parasites such as trypanosomes. It is through its bites that the pathogens of sleeping sickness in humans or nagana in cattle enter the body of a person or animal.
Imagine: you are calmly enjoying your rest in the savannah, and this winged hunter with a sharp proboscis decides that you are her next meal. One bite - and fever, weakness begin, and if left untreated, then a prolonged sleep from which you may never wake up. Among the 23 species of tsetse, such "masters" as Glossina morsitans have become especially "famous", terrorizing African villages, causing enormous damage to livestock and human health. Interestingly, it folds its wings on its back, like a neat envelope, which distinguishes it from ordinary flies. Stylish, but extremely dangerous!

The worm is common in Africa, India and the Arabian Peninsula. Microscopic larvae live in fresh water, and when the time comes, they attack animals and people, penetrating under the skin. Adult worms can reach 2 mm in thickness and 1 m in length. After mating, the male worms die, and the females move into the subcutaneous layer, drill through the skin, and when a person ends up in the water, they release larvae through the hole they made.

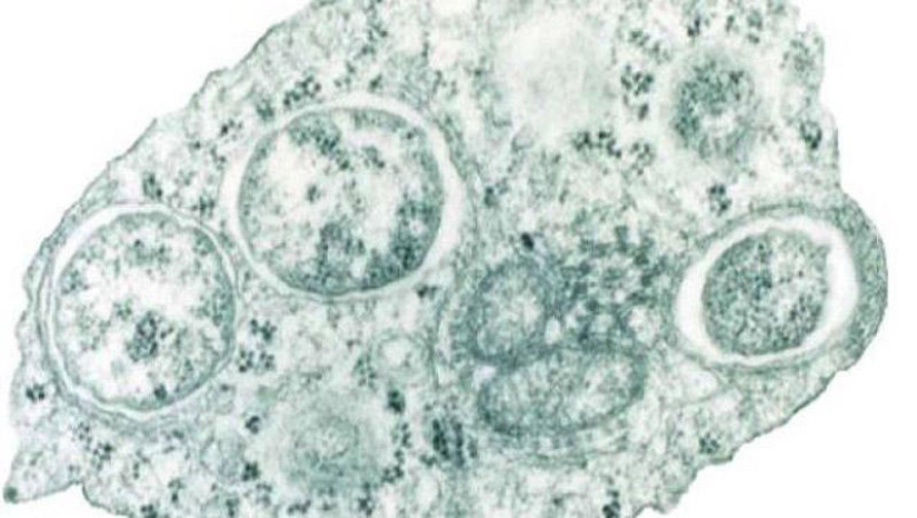
Plasmodium is a cunning microscopic parasite that loves to travel through blood vessels and cause real chaos in the body of its victims. This little "vampire" from the genus Plasmodium is known as the main culprit of malaria. It is he who makes people shiver with fever and dream of a cool lemonade. Plasmodium is transmitted through the bites of mosquitoes, which do not even suspect that they serve as couriers for this uninvited guest.
Once in the blood, the plasmodium quickly captures red blood cells, multiplies in them at an incredible speed and turns the host's body into its own personal "five-star hotel". Scientists count more than 100 species of this parasite. However, the most famous of them, for example, Plasmodium falciparum, are considered true professionals in their field. They can turn an ordinary day into a tropical nightmare.

This amoeba lives in fresh water bodies with a water temperature of 25-30 degrees. A person becomes infected while swimming. Infection by these parasites can cause fatal meningitis. Sometimes even pools with poorly chlorinated water become sources of infection. Such cases are rare, but each time they cause real panic, since the victims are visitors to pools, resort thermal springs and baths.

Leucochloridium paradoxum is a parasitic flatworm that lives off snails and birds. Snails act as intermediate hosts. As the larva develops, it penetrates the snail's body, and when one of its outgrowths (called a sporocyst) reaches the tentacle, it is transformed. As a result, the tentacle begins to look like a green caterpillar, which birds love to peck at. To disguise itself even better, the larva constantly twitches this outgrowth, imitating the movements of a real caterpillar. All this is necessary in order to attract the bird and make it eat the "caterpillar".
In the bird's body, the worm reaches maturity, reproduces, and lays eggs. These eggs fall to the ground along with the bird's droppings, and the cycle begins anew. The special "paradox" of this parasite is that the snail, having lost a tentacle, usually does not die. Instead, it grows a new one. Then the larva, remaining in the snail's body, forms another sporocyst and again attracts birds.
Recent articles
It's high time to admit that this whole hipster idea has gone too far. The concept has become so popular that even restaurants have ...
There is a perception that people only use 10% of their brain potential. But the heroes of our review, apparently, found a way to ...

New Year's is a time to surprise and delight loved ones not only with gifts but also with a unique presentation of the holiday ...